Pediatric Crowns: Restoring and Protecting Young Smiles

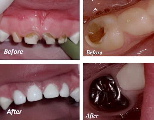
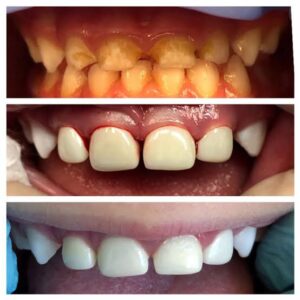
Pediatric crowns are custom-made restorations used to protect and restore severely decayed or damaged primary (baby) teeth. These crowns are essential for preserving the tooth’s functionality, maintaining proper spacing for permanent teeth, and supporting healthy oral development.

When Are Pediatric Crowns Needed?

• Extensive tooth decay that cannot be restored with fillings.
• After a pulpotomy or pulpectomy to strengthen the treated tooth.
• Broken or fractured teeth requiring protection.

Types of Pediatric Crowns We Offer:

Stainless Steel Crowns:

• Durable, cost-effective, and commonly used for molars.
• Ideal for teeth at the back of the mouth due to their strength and longevity.

Zirconia Crowns:

• Tooth-colored, offering a more natural and aesthetic appearance. • Suitable for front or back teeth, combining durability with a beautiful finish.

Nusmiles Zirconia crowns
Our clinic uses both stainless steel crowns and zirconia crowns, providing options tailored to your child’s specific dental needs and aesthetic preferences.
Pediatric crowns are an excellent way to ensure the health and functionality of your child’s teeth. Consult our experienced team to determine the best treatment option for your child’s smile!