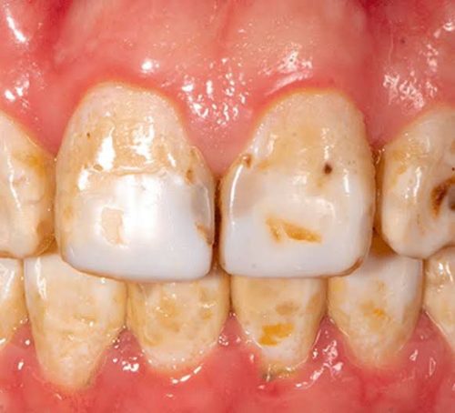
Fluorosis Treatment
Fluorosis in Kenya:

Treatment Options for Fluorosis:
1. Microabrasion:
• A technique that gently removes a thin layer of enamel to reduce the appearance of white or brown spots, especially effective for mild cases.
2. Veneers:
• Thin, custom-made shells of porcelain or composite resin applied to the front of the teeth, covering discoloration and creating a smooth, uniform appearance.
3. Bonding:
• A tooth-colored resin applied to the affected area to correct discoloration and restore the tooth’s natural look.
4. Crowns:
• For severe cases of fluorosis where the tooth structure is significantly damaged, crowns may be used to cover the entire tooth for both aesthetic and functional purposes.
Prevention:
• Preventive measures are crucial in areas where borehole water is used for drinking and cooking. Community awareness of fluoride levels in water sources and the use of appropriate filtration or water treatment methods can help reduce fluoride exposure.
• Monitoring fluoride intake during childhood to avoid overexposure.
• Using fluoride toothpaste and water appropriately to prevent fluorosis while still benefiting from fluoride’s protective effects against cavities.
