Dental Crowns and Bridges

Dental Crowns

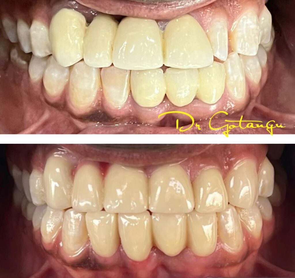
Dental crowns are custom-made caps designed to cover and protect a damaged or weakened tooth. They restore the tooth’s shape, size, strength, and appearance while improving functionality.

When You May Need a Crown:
• To protect a tooth with a large filling from cracking.
• To restore a tooth damaged by decay, injury, or wear.
• After root canal treatment to strengthen the tooth.
• To improve the appearance of discolored or misshapen teeth.

Made from durable materials like porcelain or ceramic, crowns are designed to blend seamlessly with your natural teeth, providing long-lasting protection and a beautiful smile.

Dental Bridges

A dental bridge is a fixed prosthetic device used to replace one or more missing teeth by bridging the gap between remaining natural teeth or implants. It consists of one or more artificial teeth (pontics) held in place by dental crowns (abutments) that are cemented onto the adjacent natural teeth or dental implants.

Types of Dental Bridges:
1. Traditional Bridge: Uses crowns on adjacent natural teeth to anchor the pontic.
2. Implant-Supported Bridge: Secured by dental implants rather than natural teeth.

Benefits:
• Restores chewing and speaking ability.
• Maintains the shape of the face.
• Prevents remaining teeth from shifting.
• Enhances smile aesthetics.

Care and Maintenance:
• Regular brushing and flossing to prevent decay in supporting teeth.
• Routine dental check-ups.
• Avoiding hard or sticky foods to protect the bridge.

Dental bridges are a reliable solution for tooth replacement, offering durability and functionality with proper care. Consult with a dentist to determine the most suitable type based on individual needs.