Bonding Dental Treantment

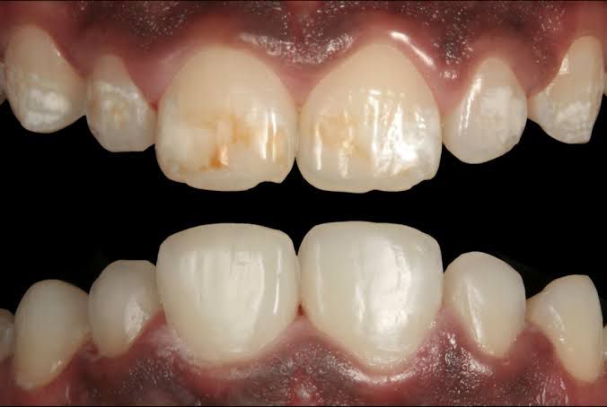
Bonding dental treatment is a procedure where a tooth-colored resin material is applied to your teeth to improve their appearance. The resin is molded and shaped to the desired form, then hardened with a special light, bonding it to the tooth. This treatment is ideal for repairing chipped, cracked, or discolored teeth, closing gaps, and altering the shape or length of teeth.

In cases of discoloration from fluorosis, bonding can be particularly effective. Fluorosis causes white spots or streaks on the teeth due to excessive fluoride intake during tooth development. Bonding can mask these discolorations, providing a more uniform and aesthetically pleasing appearance.

It’s a quick, minimally invasive, and cost-effective way to enhance your smile, especially for those dealing with discoloration issues like fluorosis.